«Amelogénesis y sus trastornos: causas, síntomas y tratamientos»
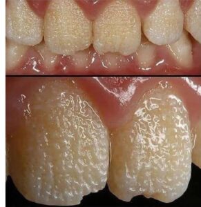
La amelogénesis es el proceso biológico mediante el cual se forma el esmalte dental durante el desarrollo de los dientes. Este proceso es llevado a cabo por células especializadas llamadas ameloblastos, que producen y organizan la estructura del esmalte antes de la erupción dental. Cuando la amelogénesis se ve afectada, pueden presentarse alteraciones en la formación del esmalte, como en el caso de la amelogénesis imperfecta, una condición genética que altera la calidad y cantidad del esmalte dental.
Causas de la amelogénesis imperfecta
La amelogénesis imperfecta es un trastorno hereditario que afecta el desarrollo del esmalte dental en dientes primarios y permanentes. Sus causas principales incluyen:
Factores genéticos: Se debe a mutaciones en genes como AMELX, ENAM, MMP20 y FAM83H, que están involucrados en la formación del esmalte. Dependiendo del tipo de herencia, puede transmitirse de forma autosómica dominante, autosómica recesiva o ligada al cromosoma X.
Defectos en la producción de esmalte: Algunas variantes de la amelogénesis imperfecta afectan la cantidad de esmalte producido, resultando en dientes más delgados o débiles.
Alteraciones en la mineralización: En algunos casos, el esmalte es producido en cantidades normales, pero no se mineraliza correctamente, lo que lo hace frágil y propenso a fracturas.
Problemas en la maduración del esmalte: El esmalte puede formarse con una textura rugosa o blanda, lo que aumenta su desgaste con el tiempo.
Tratamiento de la amelogénesis imperfecta
El tratamiento de la amelogénesis imperfecta varía según la gravedad de la condición y el tipo de alteración en el esmalte. Algunas opciones incluyen:
Selladores y barnices de flúor: Se aplican para reforzar el esmalte y reducir la sensibilidad dental.
Resinas y composites dentales: Se utilizan para restaurar la apariencia y función de los dientes afectados, proporcionando una capa protectora.
Coronas dentales: En casos más graves, se pueden colocar coronas de porcelana o resina para proteger los dientes y mejorar la estética.
Ortodoncia: Si la amelogénesis imperfecta causa problemas en la alineación dental, el tratamiento ortodóncico puede ser necesario.

Higiene y cuidado oral: Se recomienda el uso de pastas dentales con flúor, evitar alimentos ácidos y realizar controles dentales regulares.
Dado que es una condición hereditaria, no existe una cura definitiva, pero con el tratamiento adecuado, es posible mejorar la calidad de vida del paciente y prevenir complicaciones.
