El clavo es más que una simple especia aromática para realzar el sabor de tus platos: es un potente superalimento repleto de antioxidantes, propiedades antibacterianas e increíbles beneficios
Consigue una piel joven y radiante con una mascarilla natural de tomate y maicena ¿Quién no quiere una piel suave, radiante y joven? El secreto para lograr este
¿Te has percatado de que tus axilas, codos y rodillas han adquirido un tono más oscuro? Independientemente de que te higienices diariamente, esto no se debe a una
El jengibre y la miel son dos remedios naturales muy conocidos que se han utilizado durante siglos. Cuando se combinan, crean una poderosa mezcla que mejora la salud
Las infecciones recurrentes o inusuales pueden ser una señal de que el sistema inmunológico no está funcionando correctamente. Nuestro cuerpo tiene un sistema de defensa natural diseñado para
Hidratación: El jugo de apio tiene un alto contenido de agua, lo que ayuda a mantenerte hidratado durante todo el día. Mejora la digestión: El apio contiene fibra
La lista de consecuencias de no dormir bien es muy amplia e incluye una gran cantidad de enfermedades. Sin embargo, hay algunas que afectan con mayor intensidad la
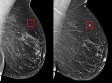
Los avances tecnológicos están revolucionando el campo de la medicina, y la inteligencia artificial (IA) ha demostrado ser una herramienta clave en la detección temprana del cáncer de
Después de saber toda esta información sobre el huevo, ya es una muy buena idea consumir 2 huevos por día. Te mostramos algunos de los beneficios de comer