La guanábana (Annona muricata), también conocida como graviola, es una fruta tropical con extraordinarias propiedades medicinales. Su pulpa, hojas y semillas han sido utilizadas por siglos en la
La leucemia es un tipo de cáncer que afecta directamente a los glóbulos blancos, células encargadas de defender al organismo contra infecciones. En esta enfermedad, la médula ósea
Realmente, cuando hablamos de plagas indeseables que pueden afectar nuestro hogar, nos referimos a las ratas y ratones. Aunque no signifiquen una verdadera amenaza, existe un alto riesgo
¿Sabías que los insectos que aparecen en tu hogar podrían tener un significado más allá de lo biológico? Más allá de su papel en el ecosistema, muchas culturas
Quema esa grasa abdominal que llevamos años teniendo. No siempre es sobrepeso, no es acumulación de cosas malas y este té depura el organismo. Tómalo durante un mes
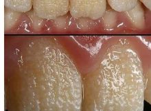
La amelogénesis es el proceso biológico mediante el cual se forma el esmalte dental durante el desarrollo de los dientes. Este proceso es llevado a cabo por células
El orégano es una hierba aromática ampliamente utilizada en la gastronomía, pero también posee propiedades medicinales que han sido aprovechadas durante siglos. Su infusión, conocida como té de